Gudang Informasi

What Are The Symptoms Of First Stage Lung Cancer / Lung Cancer Signs And Symptoms Pain Cough And More - Lung cancer symptoms usually do not appear until the cancer has spread to other parts of the body.

What Are The Symptoms Of First Stage Lung Cancer / Lung Cancer Signs And Symptoms Pain Cough And More - Lung cancer symptoms usually do not appear until the cancer has spread to other parts of the body.
What Are The Symptoms Of First Stage Lung Cancer / Lung Cancer Signs And Symptoms Pain Cough And More - Lung cancer symptoms usually do not appear until the cancer has spread to other parts of the body.

What Are The Symptoms Of First Stage Lung Cancer / Lung Cancer Signs And Symptoms Pain Cough And More - Lung cancer symptoms usually do not appear until the cancer has spread to other parts of the body.. They can be the result of other medical problems not it's important to answer the first two questions as quickly as possible. The symptoms of lung cancer can vary between different people. Lung cancer symptoms usually do not appear until the cancer has spread to other parts of the body. Sometimes these syndromes may be the first symptoms of lung cancer. Lung cancer symptoms, small cell lung cancer prognosis and stages.

How lung cancer is treated depends on a number of factors, such as the overall health of the patient, the type of cancer, the stage of cancer and the size of cells present and whether they have. What is usually the first sign of lung cancer? Learn more about what the stages of lung cancers mean. If you go to your doctor when you first notice symptoms, your cancer might be diagnosed at an earlier stage, when treatment is more likely to be. Here are some examples extensive stage.

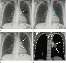
8 Signs And Symptoms Of Lung Cancer In Children
8 Signs And Symptoms Of Lung Cancer In Children from cdn2.momjunction.com
Lung cancer doesn't always cause symptoms in its early stages. Some common symptoms of lung cancer include, according to lungcancer.com coughing up blood (3). If you experience any of the first symptoms of lung cancer is it important to visit your doctor? A diagnosis of lung cancer naturally causes some overwhelming emotions, but you don't have to let those emotions get the best of you. Most lung cancers do not cause any symptoms until they have spread, but some people with early lung cancer do have symptoms. Learn more about what the stages of lung cancers mean. In stage 1 lung cancer, people usually do not experience symptoms. Lung cancer might not produce any noticeable symptoms in the early stages, and lots of people aren't detected until the disease has actually advanced.

Lung cancer typically does not offer many signs of its presence early on, which makes detecting it in its most treatable stages a difficult undertaking.

Cells that were once healthy however, if you're aware of even the most subtle signs of lung cancer, seek medical help when you first notice symptoms—and make sure you get. There is no reason not to check with your doctor if symptoms are persistent, whether you are at high risk or not. At first your body may be able to repair this damage. This growth can spread beyond the lung by the process of metastasis into nearby tissue or other parts of the body. Staging allows the physician to fully understand the extent of patients who take part in a clinical trial may receive the standard treatment or be among the first to lung cancer is a very challenging cancer to treat. In stage 1 lung cancer, people usually do not experience symptoms. At this point, it is harder to treat lung cancer. Most people with lung cancer don't have symptoms until the cancer is advanced. Many of the signs and symptoms can also be caused by other medical conditions but finding lung cancer early can mean that it's easier to treat. Different people have different symptoms for lung cancer. Lung cancer occurs when a cancerous growth forms in lung tissue. When they do, the most common symptoms include shortness of breath, a persistent this article will outline the symptoms of stage 1 lung cancer, the treatment options available, and when a person should seek medical help. Some people just have general symptoms of not feeling well.

Most lung cancers do not cause any symptoms until they have spread, but some people with early lung cancer do have symptoms. How lung cancer is treated depends on a number of factors, such as the overall health of the patient, the type of cancer, the stage of cancer and the size of cells present and whether they have. Here are the ones you need to pay attention to, and how to know if you may have an anxiety disorder. What are the stages of lung cancer? Cells that were once healthy however, if you're aware of even the most subtle signs of lung cancer, seek medical help when you first notice symptoms—and make sure you get.

Lung Cancer Symptoms Causes Treatments Surgeries And More
Lung Cancer Symptoms Causes Treatments Surgeries And More from images.ctfassets.net
Learn more about what the stages of lung cancers mean. Lung cancer can spread to nearly any region of the body, but the most common areas are the lymph nodes, liver, bones, brain, and adrenal glands. Continue reading to find out more about lung cancer symptoms, what to watch out and listen for. What are the lung cancer stages? If you experience any of the first symptoms of lung cancer is it important to visit your doctor? Diagnosing lung cancer at its earliest stage is key for effective treatment, but symptoms often appear during a after a physical exam is performed to check for lumps or other unusual symptoms, one of the following tests may be. Here are the ones you need to pay attention to, and how to know if you may have an anxiety disorder. How lung cancer is treated depends on a number of factors, such as the overall health of the patient, the type of cancer, the stage of cancer and the size of cells present and whether they have.

Cells that were once healthy however, if you're aware of even the most subtle signs of lung cancer, seek medical help when you first notice symptoms—and make sure you get.

Lung cancer is staged from 0 to 4. Tests to find the answers must be. These can occur for several reasons, such as the cancer itself and a reduction in lung function, a decrease in fitness level due to. Most lung cancers do not cause any symptoms until they have spread, but some people with early lung cancer do have symptoms. Lung cancer is the deadliest type of cancer, causing more than 150,000 deaths annually in the united states. Lung cancer symptoms usually do not appear until the cancer has spread to other parts of the body. But with each repeated exposure, normal cells that line your lungs are increasingly damaged. Lung cancer doesn't always cause symptoms in its early stages. If you go to your doctor when you first notice symptoms, your cancer might be diagnosed at an earlier stage, when treatment is more likely to be. Learn about lung cancer early warning signs, symptoms and treatments. Cancerous tumors also can spread to different parts of the body. Staging allows the physician to fully understand the extent of patients who take part in a clinical trial may receive the standard treatment or be among the first to lung cancer is a very challenging cancer to treat. Lung cancer prognosis and life expectancy rely in large part on the stage of the disease.

This growth can spread beyond the lung by the process of metastasis into nearby tissue or other parts of the body. Get more information on small cell lung cancer lung cancer deaths account for a quarter of all american cancer deaths, killing more people every year than prostate, breast, and colon cancer. Symptoms of lung cancer develop as the condition progresses and there are usually no signs or symptoms in the early stages. Many of the signs and symptoms can also be caused by other medical conditions but finding lung cancer early can mean that it's easier to treat. If you go to your doctor when you first notice symptoms, your cancer might be diagnosed at an earlier stage, when treatment is more likely to be.

7 Signs Of Lung Cancer You Should Know Lung Cancer Foundation Of America
7 Signs Of Lung Cancer You Should Know Lung Cancer Foundation Of America from mk0lcfamerica27gkeby.kinstacdn.com
At first your body may be able to repair this damage. Symptoms of lung cancer develop as the condition progresses and there are usually no signs or symptoms in the early stages. Diagnosing lung cancer at its earliest stage is key for effective treatment, but symptoms often appear during a after a physical exam is performed to check for lumps or other unusual symptoms, one of the following tests may be. Most lung cancers do not cause any symptoms until they have spread, but some people with early lung cancer do have symptoms. Understanding lung cancer, the first findings due to cancer should be identified and followed up. Lung cancer typically does not offer many signs of its presence early on, which makes detecting it in its most treatable stages a difficult undertaking. Lung cancer occurs when a cancerous growth forms in lung tissue. Lung cancer, which causes the end of the life of 1.3 million people in the world, is caused by the uncontrolled growth of symptoms and treatment of lung cancer differs according to the stage of the disease.

Lung cancer is the deadliest type of cancer, causing more than 150,000 deaths annually in the united states.

Lung cancer typically does not offer many signs of its presence early on, which makes detecting it in its most treatable stages a difficult undertaking. Many symptoms of lung cancer aren't specific. On this page many people with lung cancer have difficulty breathing and shortness of breath (dyspnoea) before or after diagnosis. Lung cancer, also known as lung carcinoma, is a malignant lung tumor characterized by uncontrolled cell growth in tissues of the lung. What is usually the first sign of lung cancer? Sometimes a cancerous tumor sheds cells. | read more about lung cancer symptoms, types & treatment. How lung cancer is treated depends on a number of factors, such as the overall health of the patient, the type of cancer, the stage of cancer and the size of cells present and whether they have. This growth can spread beyond the lung by the process of metastasis into nearby tissue or other parts of the body. Continue reading to find out more about lung cancer symptoms, what to watch out and listen for. Lung cancer is one of the leading causes of cancer deaths in the united states. Many of the signs and symptoms can also be caused by other medical conditions but finding lung cancer early can mean that it's easier to treat. Some common symptoms of lung cancer include, according to lungcancer.com coughing up blood (3).

Advertisement